訪問診療や夜間診療、療養指導も対応

院内設備

さっぽろ厚別通内科の
院内設備

超音波(エコー)

高周波の超音波を発信し、腹膜内の臓器から反射された波(エコー)を画像化します。
心臓をはじめ、肝臓・胆のう・すい臓・腎臓・甲状腺・子宮・前立腺などの疾患に有効です。
また、頸動脈エコーでは、動脈硬化の程度を測定することも可能です。
この検査は患者様に全く苦痛を与えません。

経鼻内視鏡

鼻から入れることの出来る極細経の内視鏡機器です。
以前は口から胃カメラ検査を受けたことのある方が検査を受けると、9割の方が次回は経鼻内視鏡を希望されます。
安全でかつ診断力も通常の(口から入れる)内視鏡と比べて全く変化ありません。レーザー光源による最新の経鼻内視鏡です。

  • 経鼻内視鏡:LASEREO EG-L580NW

心電図

心臓では心筋が収縮するときに右心房にある心筋細胞から微弱な電気信号が発生し、心臓全体に伝えられます。
この電気信号を体の外に記録したものが心電図です。
心筋の異常や不整脈・狭心症・心筋梗塞の診断には不可欠な検査です。

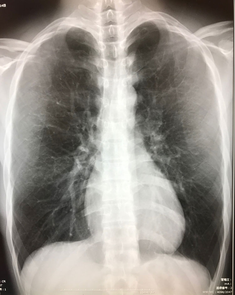
レントゲン

当院のデジタルX線撮影装置は、X線撮影画像を瞬時に処理し即座に画像表示することができます。
瞬時に診断画像を表示できますので、患者様の検査時間を約4分の1に短縮できます。また、従来のX線撮影に比べて約半分の被ばく線量できめ細かな診断画像を作成できるため、患者様の負担を大幅に低減することができます。

胸部レントゲン写真には肺にある骨に重なった病変が見やすくなる画像処理技術(Bone Suprpession)を導入し、診断の精度向上に役立てております。

血圧計

待合スペースに血圧計を設置しております。
上腕部で計測する血圧計です。デジタル表示で見やすく、自動計測のため手軽に計測することができます。
お待ちいただく間など、ご自由にお使いください。

全身消毒装置
「スリー・オブ・ディフェンス」

医療機関において、札幌市では初、道内2番目に導入した全身消毒装置です。
当院入り口に据え置き型噴霧装置として設置しておりますので、来院の際にご使用ください。
着用したマスクや衣服にも除菌効果があり、効果は長時間持続します。

来院の際にご使用ください

新型コロナウイルスやインフルエンザ、ノロなどのウイルス、その他の様々な細菌を安全・簡便に徹底除去する第四世代の抗ウイルス・抗菌剤を全身に噴霧します。

院内の空気清浄を
徹底しております

Airdog(エアドッグ)

ウイルスよりも小さな0.0146μmの微細粒子まで除去が可能な「Airdog(エアドッグ)」を院内に3箇所設置し、院内の空気を清浄しております。
電磁場を作ることにより、有害物質をプラスイオンで帯電させ、磁石のようにフィルターに汚れを吸着して除去します。 これにより、一般的な空気清浄機では除去が困難な微細粒子も除去するため、これまで以上に院内感染予防を徹底しております。

copyright 医療法人社団 さっぽろ厚別通内科

混雑状況・診療受付

arrow_upward